Updates, news and stories

A selection of updates, news and stories from across the university.

Filter by
  • Deborah Buszard
    UBCV & UBCO
    January 30, 2023 | Leadership one-on-one | Faculty & Staff

    Deborah Buszard

    Deborah Buszard is UBC’s Interim President and Vice-Chancellor – she was appointed to this role in October 2022. Professor Buszard is a familiar face at the university and a well-known leader in the Canadian post-secondary landscape. She served as Deputy Vice-Chancellor and Principal at UBC Okanagan from 2012 to 2020. Prior to this, she served in various leadership roles at both Dalhousie and McGill University. She currently holds an academic appointment as Professor of Biology in the Irving K. Barber Faculty of Science on the Okanagan campus. Originally from the United Kingdom, Professor Buszard’s early research endeavours brought her to Canada, where she pursued horticulture and strawberry breeding. Her current research interests include global agriculture and food innovation, institutional system transformation, and sustainability. In addition to her academic work and love of plants, Professor Buszard loves travel and the great outdoors. She also considers herself a lifelong student, eager to learn something new and put her skills to the test.

  • Move UBC
    UBCV & UBCO
    January 26, 2023 | Announcement | Faculty & Staff

    Get active this February with Move UBC

    Move UBC is an annual university-wide initiative in February to encourage faculty, staff and the wider university community to reduce time spent being inactive. During Move UBC this month, find out about: 

  • UBC Broadcast
    UBCV & UBCO
    January 25, 2023 | UBC Broadcast | Faculty & Staff

    Share your thoughts on the search for a new President and Vice-Chancellor

    A message from The Honourable Steven Point, Chancellor and Chair of the Presidential Search Committee As you know, UBC is in the midst of a search for a new President and Vice-Chancellor. We recently invited you to share comments via an online survey. We now want to invite you to join a virtual forum and share your views related to the skills and qualities you want to see in the next President of UBC.

  • Brain scan
    UBCV
    January 24, 2023 | Media release | Faculty & Staff

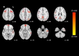
    Traffic pollution impairs brain function

    A new study by UBC and University of Victoria researchers has shown that common levels of traffic pollution can impair human brain function in only a matter of hours. The findings show that just two hours of exposure to diesel exhaust causes a decrease in the brain’s functional connectivity – a measure of how different areas of the brain interact and communicate with each other. The study provides the first evidence in humans, from a controlled experiment, of altered brain network connectivity induced by air pollution.

  • Sally Stewart
    UBCO
    January 23, 2023 | Teaching in focus | Faculty & Staff

    Teaching in focus: Sally Stewart

    Sally Stewart is an associate professor of teaching who believes in the power of students’ personal health as critical in setting a foundation for their academic success.

Find the latest news, updates, events, and useful dates from across UBC, curated for faculty and staff by Internal Communications.
Access a library of resources from multiple UBC websites, all in one place.

UBC Crest The official logo of the University of British Columbia. Urgent Message An exclamation mark in a speech bubble. Arrow An arrow indicating direction. Arrow in Circle An arrow indicating direction. Caret An arrowhead indicating direction. Time A clock. Chats Two speech clouds. Facebook The logo for the Facebook social media service. Feedback Dots inside a speech bubble, indicating discussion. Information The letter 'i' in a circle. Instagram The logo for the Instagram social media service. Lightbulb A lightbulb inside a circle. Linkedin The logo for the LinkedIn social media service. Location Pin A map location pin. Mail An envelope. Menu Three horizontal lines indicating a menu. Minus A minus sign. Parking The letter 'P' inside a circle. Telephone An antique telephone. Play A media play button. Plus A plus symbol indicating more or the ability to add. Search A magnifying glass. Submit content An inbox filled with paper. Team A group of people inside a circle. Twitter The logo for the Twitter social media service.